
국립생태원에서 제공하는 수많은 자료를 e-Book으로 볼 수 있습니다.
통합검색

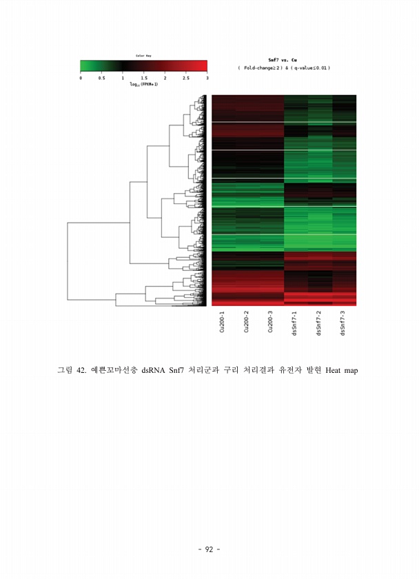
제목 : (2019) 유전자 기반 LMO의 안전성 평가기반 구축
발행일 : 2019-01-01 | 조회수 : 8186
카테고리 :
92 42. dsRNA Snf7 Heatmap

제목 : 우리지역 생태자산과 생태계서비스(남양주)
발행일 : | 조회수 : 3780
카테고리 :
No. 남양주 남양주 051 본 생태자산의 생태계서비스 간이평가지 구분 예시 평가 등급 설명 규모별 혜택 지점 지역 국가 공급 담수 식수, 농업용수, 축산 용수 등 0 식량 곡물, 과실, 물고기 등 0 연료 화목, 토탄 0 섬유 건축용 목재, 의류용 섬유 등 0 유전자원 농업·축산업 희귀품종 등 0 천연약재 전통 의약품에 사용되는 식물 0 장식재료 수집용 조개껍질, 꽃 등 0 진흙,미네랄, 골재 건축용 모래 또는 자갈, 벽돌재료 진흙 등 0 폐기물처리 고체 쓰레기 하치, 폐수 방류 등 0 친환경에너지발전 조력발전, 풍력발전 0 조절 대기질 자동차 배기가스, 산업체 대기오염, 농업발생 먼지 등의 대기 미세물질의 제거 ++ 수목이 풍부하여 대기 미세물질의 제거의 탁월 지역적 기후 그늘, 대기온도 저하 등의 지역...

제목 : 우리지역 생태자산과 생태계서비스(창녕)
발행일 : | 조회수 : 3929
카테고리 :
우리 지역의 보물 같은 곳을 알게 되었습니다. ? 살고 있는 지역의 생태에 더 자세히 알게 되고 묻혀있던 곳을 발굴할 수 있어서 좋았습니다. ? 지역의 생태자산을 새롭게 바라보는 시야를 가지게 되었습니다. ? 지역 고유의 생태자산 발굴에 참여함에 자부심을 가지고 지역 생태보전을 다짐하는 계기가 되었습니다. 더 많은 참여가 꾸준히 이루어지길 바랍니다. ? 지속적인 평가를 생태자산의 변화를 기록하고 가치를 업그레이드 시키면 좋겠습니다. ? 우리나라 전 지역에 대한 평가가 이루어지길 바라며 기존에 평가한 지역을 재평가 하여 변화에 대한 평가가 이어져 꾸준한 관심이 이어지기를 바랍니다. ? 지역에서 자제적으로 생태자산 발굴사업이 이루어지길 바랍니다. ? 생태가치에 대한 평가를 넘어 가치에 대한 홍보·교육 등으로 확...

제목 : (2019년) 환경부 소관 LMO 위해성평가 체계 구축 및 평가기관 운영
발행일 : 2019-01-01 | 조회수 : 9684
카테고리 :
88 Geoaccumulation index Classification Level of contamination 5 I geo 10 6 Extremely serious 4 I geo 5 5 Strong to extremely serious 3 I geo 4 4 Strong 2 I geo 3 3 Moderate to strong 1 I geo 2 2 Moderate 0 I geo 1 1 Light to moderate I geo 0 0 Non contamination 19. Geoaccumulation index I geo Su, 2014 City/Country Cr Cu Pb Zn Ni Cd Beijing -1.36 -0.52 -0.45 -1.19 -0.54 0.04 Guangzhou 0.88 1.48 0....

제목 : 우리지역 생태자산과 생태계서비스(제주)
발행일 : | 조회수 : 6591
카테고리 :
No. 제주- 제주 051 본 생태자산의 생태계서비스 간이평가지 구분 예시 평가 등급 설명 규모별 혜택 지점 지역 국가 공급 담수 식수, 농업용수, 축산 용수 등 물을 저장하여 식수 및 농업용수를 제공 -- √ 식량 곡물, 과실, 물고기 등 인간 및 야생동물에게 먹거리 제공 -- √ 자원 목재나 약재 등 상품의 재료로 활용 -- √ 친환경에너지 태양열이나 풍력, 조력을 통해 전기 생산 -- √ 조절 대기질 자동차 배기가스, 산업체 대기오염, 농업발생 먼지, 미세먼지 등 대기오염 감소 ++ 기후조절 온실가스를 줄이고 기후변화 완화 ++ 홍수 재해 홍수로 인한 범람에 대한 조절, 집중강우에 대한 조절 폭우로 인한 홍수피해 저감 0 높은 곳에 위치 √ 토양유실 토양 소실을 방어하는 밀도 높은 식생의 존재, 비와 ...