
국립생태원에서 제공하는 수많은 자료를 e-Book으로 볼 수 있습니다.
통합검색

제목 : 지속가능한 국토이용을 위한 생태계서비스 (생태가치) 평가. [2],공급서비스 >
발행일 : 2015-01-01 | 조회수 : 8834
카테고리 :
40 적용이 어려울 것으로 보인다. 재생가능한 물공급 및 인구 평가지표의 세부지표는 상수도 上水道, Waterworks 와 지하수 地下水, Groundwater 로 구분하였으며, 환경부『상수도 통계』의 상수도 이용현황과『국토교통부 통계연보』의 지하수 이용현황 자료를 수집하였다. 물저장 능력 평가지표의 세부지표는 국토교통부『통계연보』의 수자원 항목의 댐현황을 기반으로 밀양, 보령, 부안, 섬진강, 소양강, 안동, 용담, 임하, 주암 본 , 주암 조 , 충주, 합천, 횡성, 장흥, 군위, 남강, 대청 댐의 평균저수량을 수집하였다. 수력발전 水力發電, Hydroelectric power generation 평가지표의 세부지표는 발전량으로 선정하였으며, 일반수력, 양수, 소수력을 포함한다. 국내 수력 발전 가운데 ...

제목 : 육상생태계에서 이루어지는 생태연구 : 환경이 변하면 숲은 어떻게 반응할까?
발행일 : 2014-01-01 | 조회수 : 9883
카테고리 :
54 국가장기생태연구 리 잡고 있다는 것은 우리에게 커다란 혜택이고 자랑이다. 물론 부분적으로 과도한 인간 간섭 으로 이질적인 요소들이 침입하여 자리하고 있는 것도 있지만 자연의 모습을 거의 그대로 간 직하고 있는 숲들이 많이 보인다. 과거 국가의 중요시설이 자리 잡고 있던 지역 주변의 신갈 나무 숲이 특히 그런 모습이다. 어울려 있는 식물의 종류가 이 숲의 건전성을 대변한다. 당단 풍, 음나무, 회잎나무 등이 성목으로 출현하고, 생강나무, 작살나무, 분꽃나무, 노린재나무 사 진 3.9 , 애기나리 사진 3.10 , 고비, 맑은대쑥, 단풍취 등 이 숲의 전형적인 식구들이 온전하 게 남아 있다. 숲 바닥에는 이 숲의 대를 이을 어린 신갈나무도 보이니 더욱 안심이 된다. 2.2 남산의 식물 어떤 지역에 살고 있...

제목 : LMO 자연환경 모니터링 및 사후관리 연구(VII)
발행일 : 2015-01-01 | 조회수 : 8235
카테고리 :
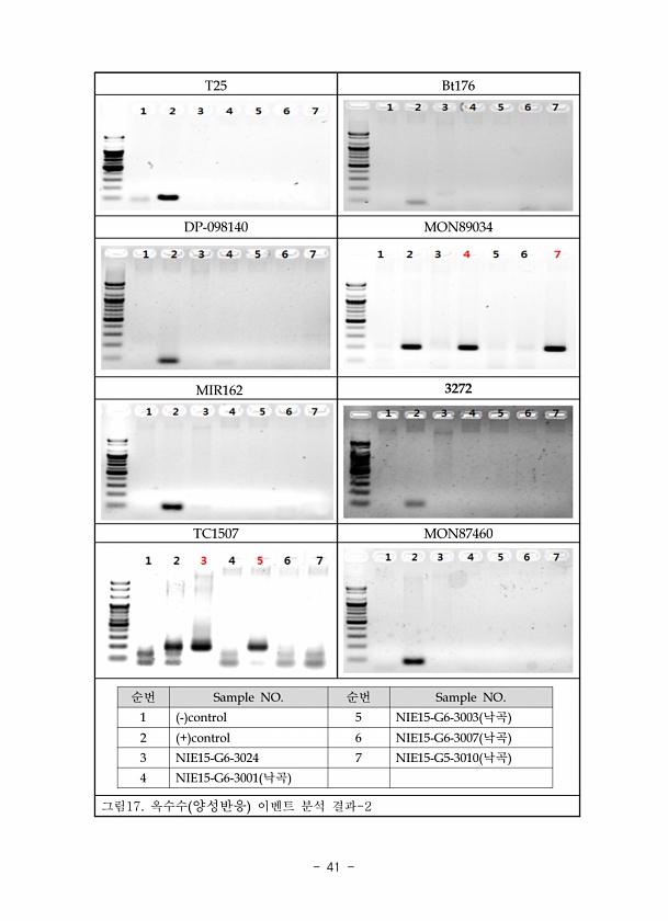
T25 Bt176 DP-098140 MON89034 MIR162 3272 TC1507 MON87460 순번 Sample NO. 순번 Sample NO. 1 control 5 NIE15-G6-3003 낙곡 2 + control 6 NIE15-G6-3007 낙곡 3 NIE15-G6-3024 7 NIE15-G5-3010 낙곡 4 NIE15-G6-3001 낙곡 양성반응

제목 : 전국자연환경조사 시민참여조사 매뉴얼
발행일 : 2019-01-01 | 조회수 : 1505
카테고리 :
55 식물 88종 섬개현삼 Ⅱ급 섬시호 Ⅱ급 세뿔투구꽃 Ⅱ급 생물정보 바로가기 생물정보 바로가기 생물정보 바로가기 부 록5

제목 : (2017) 생태계 기후변화 리스크 평가 및 적응대책 연구
발행일 : 2017-01-01 | 조회수 : 6682
카테고리 :
Risk 2050 RCP4.5 ? ? ? , Risk ? ? ? 14 RCP4.5 2050 RCP4.5 2070 RCP8.5 2050 RCP8.5 2070 ? 14