
국립생태원에서 제공하는 수많은 자료를 e-Book으로 볼 수 있습니다.
통합검색

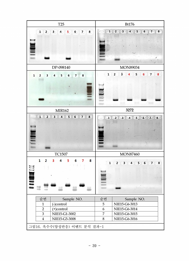
제목 : LMO 자연환경 모니터링 및 사후관리 연구(VII)
발행일 : 2015-01-01 | 조회수 : 8238
카테고리 :
T25 Bt176 DP-098140 MON89034 MIR162 3272 TC1507 MON87460 순번 Sample NO. 순번 Sample NO. 1 control 5 NIE15-G6-3013 2 + control 6 NIE15-G6-3014 3 NIE15-G1-3002 7 NIE15-G6-3015 4 NIE15-G5-3008 8 NIE15-G6-3016

제목 : (2015) 자연생태계 내 유전자변형생물체 선별기술 개발
발행일 : 2015-01-01 | 조회수 : 4577
카테고리 :
다 DAS-44406-6 검출결과 그림 19. DAS-44406-6 검출 조건 확립 Savini C et al., 2015 Lane 1과 2는 대 상 작물이 콩임을 확인하는 Le1 lectin 1 내재 유전자 증폭 결과이며 Lane 3과 4는 유전자 변형 작물을 확인하기 위한 DAS-44406-6 이벤트 특이적 유전자 증폭 결과이다. M은 전기영동 100 bp 마커를 나타낸다. 라 MON87769 검출결과 그림 20. MON87769 검출 조건 확립 Mazzara M et al., 2012 Lane 1과 2는 대 상 작물이 콩임을 확인하는 Le1 lectin 1 내재 유전자 증폭 실험 결과이며 Lane 3과 4는 유전자 변형 작물을 확인하기 위한 MON87769 이벤트 특이적 유전자 증폭 실험결과 이다. M...

제목 : (2016) 전국 무인도서 자연환경조사 : 군산권역
발행일 : 2014-01-01 | 조회수 : 12017
카테고리 :
Ⅱ. 조사결과 www.nie.re.kr ? 43 ④ 보전가치 등급 Ⅱ등급으로 판단된다. 그림 30. 광대도 전경 그림 31. 광대도 주황해변해면 그림 32. 광대도 풀색꽃해변말미잘 그림 33. 광대도 태평양꽃해변말미잘 그림 34. 광대도 무쓰뿌리돌산호 그림 35. 광대도개울타리고둥

제목 : LM작물과 국내 근연종간의 유전자이동성 평가기법 개발. 3
발행일 : 2014-01-01 | 조회수 : 5420
카테고리 :
42 감수곡선모델에 따르면 LM콩으로부터 야생콩으로 유전자 이동율이 0.1%, 0.01%일 때의 이격거리는 각각 2.6 m, 11 m로 예측된다 Fig 3-9 그러나, 본 결과는 2년간의 결과를 통합분석한 결과이고, 8 m 이상의 이격거리에서는 실험이 실제 수행된 것이 아니므로 이에 대한 추가적인 연구를 통해서 본 예측값을 최종 검증할 필요가 있다. Fig 3-9. 지수감소곡선에 따른 LM콩으로부터 야생콩으로의 유전자 이동율 실측값● 2013년 결과 , ■ 2014년 결과 , 예측값실선

제목 : (2017) 자연환경종합 GIS-DB구축
발행일 : 2017-01-01 | 조회수 : 9319
카테고리 :
41 그림 25. 동·식물 평가 과정 3 습지평가 습지평가 평가기준 평가 자료 1등급 습지 ? 멸종위기야생동물 2종 이상의 번식지 또는 생육장으로 중요한 자연습지 ? 멸종위기야생생물이 6종 이상 살고 있는 습지 ? 최근 5년간 물새 2만마리 이상이 매년 도래하면서 멸종위기조류가 평균 4종 이상 도래하거나 최근 5년간 물새 한 종의 개체수가 1% 이상이 매년 도래하는 습지 ? 어류가 20종 이상 서식하는 자연호소 단, 외래 및 도입 어류는 제외 ? 자연 하천습지 ? 산지습지의 경우, 멸종위기야생생물 Ⅰ급 종이 1종 이상 또는 Ⅱ급 종이 2종 이상 서식하는 산지습지 ? 경제적, 생태학적으로 중요한 회유성 어류의 이동통로, 산란장인 자연하천 동·식물 분포도, 습지 현황도, 하천도, 현존 식생도, 임상도, 기타 생...